TAG
otak
Berita
-
Jangan Biarkan Anak-anak Gunakan Smartphone dalam Waktu Lama, Ini Dampaknya
Di era teknologi seperti sekarang ini, semua orang menggunakan smartphone. Tak terkecuali anak-anak. Namun ada akibat buruk dari kebiasaan itu.
-
Kades Tumpukrenteng Malang Diduga Dalang Pembunuhan Sadis Juari, 18 Warganya Juga Ditangkap
Kades Tumpukrenteng, Helmiawan Khodidi, diduga termasuk aktor di balik pengeroyokan yang merupakan aksi pembunuhan di Turen Malang itu.
-
Menurut Studi, Otak Manusia Masih Bekerja Selama Beberapa Jam Setelah Kita Mati
Studi itu mengungkapkan, ketika jantung berhenti, otak kita akan tetap bekerja beberapa waktu setelahnya.
-
Gejala Stroke Ini Sering Diabaikan
Stroke merupakan penyakit berbahaya, serangan stroke bisa mempengaruhi otak. Bahkan, stroke terjadi ketika bagian-bagian tertentu dari otak terganggu.
-
5 Tahun Menderita Pilek, Pria Ini Ternyata Mengalami Kebocoran Cairan Tulang Belakang Otak
Menderita Pilek Selama 5 Tahun, Rupanya Pria Ini mengalami kebocoran cairan tulang belakang otak yang Mematikan
-
4 Latihan Fisik Ini Bermanfaat untuk Kebugaran Otak
Ada olahraga yang khusus menjaga kebugaran otak. Dan, 4 tips latihan fisik ini sangat bermanfaat untuk menjaga kebugaran otak Anada.
-
Seringkali Merasa Lupa? Ini Alasan Ilmiah yang Jadi Penyebabnya
Fenomen lupa bisa dibilang hampir dialami semua orang. Tapi sebenarnya adakah alasan khusus kenapa hal itu bisa terjadi?
-
Sering Dilakukan, Kebiasaan Berikut Ini Ternyata Bisa Menyebabkan Masalah pada Otak
Ada beberapa kebiasaan yang dapat menyebabkan banyak masalah dan kerusakan pada otak dalam jangka waktu tertentu.
-
Penyebab Kecerdasan Otak Bisa Menurun
Otak merupakan salah satu organ tubuh yang mempunyai fungsi penting, untuk itu menjaga kesehatan otak merupakan hal wajib di lakukan.
-
Anda Sering Melamun? Jangan Merasa Bersalah karena Buang Waktu, Ternyata Banyak Manfaatnya Lo
- Apakah Anda pernah melamun dan merasa bersalah karena itu artinya Anda membuang-buang waktu Anda yang berharga?
-
Tidur Menutup Kepala Ternyata Bisa Menyebabkan Kerusakan Otak
Gejala dari melemahnya fungsi otak dapat mengakibatkan banyak hal. Termasuk kesusahan berkonsentrasi dan mudah melupakan hal-hal tertentu.
-
Mengunyah Permen Karet Ternyata Bisa Menurunkan Kemampuan Otak
Menurut para ahli, semua hal di dunia modern mulai dari teknologi hingga kebiasaan makan bisa mengikis kemampuan otak.
-
Bahaya Kolesterol Tinggi Bagi Tubuh
Kolesterol tinggi merupakan kondisi kesehatan yang membahayakan tubuh. Masalah kesehatan ini disebut sebagai silent killer, karena bisa memicu kemati
-
Suku Fore di Papua Nugini Doyan Makan Otak Manusia, Ini Dampak yang Terjadi pada Tubuh Mereka
Kebiasaan suku di Papua Nugini yang gemar memakan otak manusia ternyata bak pisau bermata dua.
-
Perkembangan Teknologi Ubah Cara Pandang dan Berpikir
Teknologi dan media sosial bisa sangat berguna bagi kehidupan manusia tapi kalau dimanfaatkan secara keliru berbahaya
-
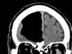
Wanita Ini Alami Hal Mengerikan Setelah Bermain Ponsel Sambil Berbaring Selama 20 Jam
Dilansir dari Viral4real.com, seorang wanita asal Tiongkok mengalami penggumpalan darah di otak setelah menggunakan ponselnya selama 20 jam lamanya sa
-
Kisah Hidup Umar Husein, Masih Bisa Bertahan Hidup Setelah Seperempat Tengkoraknya Hilang
Umar Husein masih bisa bertahan hidup sengan tulang tengkorak yang hilang. Ini kisahnya.
-
Tertimpa Cabang Pohon, Jalan Hidup Seorang Bocah 7 Tahun Berubah Drastis
Tripp Halstead baru berusia 2 tahun ketika ia tertimpa cabang pohon yang membuat jalan hidupnya berubah.
-
Akibat 20 Jam Main Ponsel, Seorang Wanita Asal Tiongkok Alami Pembekuan Darah di Otak
Wanita Tiongkok berumur 47 tahun alami pembekuan darah di otak setelah bermain ponsel.
-
Merasa Badannya Kurang Sehat, Seorang Kakek Temukan Sebagian Otak Kanannya 'Hilang'
Otaknya menghilang? Kejadian langka apa ini sampai si kakek harus menderita seperti ini?
© 2025 TribunNews.com, a subsidiary of KG Media. All Right Reserved