TAG
otak
Berita
-
Tes Kepribadian: Gambar yang Pertama Kali Kamu Lihat, Dapat Mengungkapkan Kekuatan Otakmu Sebenarnya
Dengan mengikuti tes yang ada di artikel ini, kamu dapat mengetahui kekuatan otak mana yang lebih dominan pada dirimu.
-
Kisah Allanna Wong si Sleeping Beauty,Tidur 8 Bulan Tak Pernah Bangun, Ini yang Terjadi Pada Otaknya
Allanna Wong merasakan tidur panjang selama hidupnya. Ia bhakan pernah 8 bulan tidur tanpa bangun. Ini yang terjadi pada otaknya
-
VIRAL Seorang Balita Terjatuh dan Sumpit yang Dipegangnya Menusuk hingga Tembus ke Otak
Seorang balita berumur satu setengah tahun di Tiongkok, hampir saja tewas ketika dirinya terjatuh dan sumpit yang dibawanya menusuk hingga ke otak.
-
Minum Kopi, Selain Turunkan Risiko Terkena Penyakit Otak dan Saraf, Juga Masih Ada Sederet Manfaat
Masyarakat, umumnya mengenal minuman kopi punya manfaat untuk mengusir rasa kantuk. Namun, siapa sangka,minum kopi ternyata juga dapat berdampak baik
-
Ibu Ini Hampir Mati Setelah Mengalami Infeksi Otak Akibat Sering Pakai Cotton Bud
Siapa sangka membersihkan telinga, kegiatan yang umum dilakukan orang-orang, bisa membuat nyawa seseorang terancam.
-
Manfaat Merangkak Bagi Tumbuh Kembang Bayi
Nikita Mirzani sudah jadi tersangka kasus KDRT yang dilaporkan suaminya, Dipo Latief. Namun, ia belum ditahan.
-
Nyamuk Pembawa Virus Mematikan Ditemukan di Florida, Otak Penderitanya Bisa Membengkak
Dinas kesehatan Florida Amerika memberi peringatan pada publik akan bahayanya nyamuk pembawa virus mematikan yang disebut Eastern equine encephalitis
-
Tes Logika - Jika Kamu Dapat Menjawab Teka-teki Ini dalam 7 Detik, Berarti Otakmu Cemerlang!
Ikuti tes logika di bawah ini. Jika kamu dapat menjawab teka-teki ini dalam 7 detik, itu berarti otakmu cemerlang!
-
10 Makanan yang Bisa Merusak Otak dan Turunkan Daya Ingat
Berikut sepuluh makanan yang bisa merusak otak dan menurunkan daya ingat. Apa saja makanan tersebut?
-
Benarkah Kecanduan Internet Bisa Turunkan Daya Ingat dan Fungsi Otak? Simak Penjelasannya!
Benarkah Kecanduan Internet Bisa Turunkan Daya Ingat dan Fungsi Otak? Simak Penjelasannya!
-
7 Jenis Makanan yang Mampu Tingkatkan Kecerdasan Otak Anak
Yuk konsumsi 7 makanan berikut ini untuk membantu perkembangan otak pada anak agar makin sehat dan cerdas.
-
Manfaat Tersembunyi Susu, Bisa Turunkan Tekanan Darah dan Melindungi Otak
Susu, memang sangat identik dengan kandungan kalsium yang baik untuk tubuh khususnya tulang.
-
Dampak Buruk Bagi Anak-anak Terlalu Lama Gunakan Smartphone
Di era teknologi seperti sekarang ini, semua orang menggunakan smartphone. Tak terkecuali anak-anak.
-
Pahami Jenis dan Manfaat Air Minum Kemasan untuk Pemenuhan Hidrasi Sehat
Minum air yang cukup penting buat keseimbangan pengaturan proses biokimia, pengatur suhu,pelarut, pembentuk sel,pelumas sendi dan bantalan organ tubuh
-
Kesadaran Memeriksakan Kesehatan Otak Secara Rutin Masih Rendah
Brain check up sangat diperlukan karena berguna untuk mendeteksi penyakit yang mengancam kesehatan otak, seperti stroke
-
Efek Samping Apabila Anak-anak Gunakan Smartphone dalam Waktu Lama
Di era teknologi seperti sekarang ini, semua orang menggunakan smartphone. Tak terkecuali anak-anak.
-
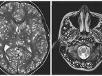
Ratusan Cacing Pita Memakan Otak Remaja Ini, Diduga Ia Gemar Konsumsi Daging Babi Setengah Matang
Memang tak dapat dipungkiri, sebagian orang (yang tak dilarang baik secara agama atau medis) gemar menyantap daging babi.
-
Manfaat Buah Sirsak, Bisa Meningkatkan Kesehatan Otak hingga Jaga Kelembaban Kulit
Sirsak dianggap salah satu jenis makanan yang baik untuk kesehatan, bisa meningkatkan kesehatan otak dan menjaga kelembaban kulit dan rambut
-
Lihat Mobil Ambulans Mahfud MD Ingat Rocky Gerung, Balasanya: Disebut Otak Bila Dipakai Berpikir
Pengamat politik Rocky Gerung membalas cuitan Mantan Ketua Mahkamah Konstitusi (MK), Mahfud MD.
-
Ini Bahayanya Mengenalkan Mecin Sejak Anak-Anak
Mengenalkan MSG alias mecin kepada anak membuat otak si anak akan menyimpan rasa mecin sehingga bisa membuat ketagihan mecin.
© 2025 TribunNews.com, a subsidiary of KG Media. All Right Reserved