Virus Corona
Ilmuwan Peringatkan Adanya Kemungkinan Gelombang Kerusakan Otak Terkait Covid-19
Ilmuwan Peringatkan Adanya Kemungkinan Gelombang Kerusakan Otak Terkait Covid-19, Bukti Baru Sebut Covid-19 Sebabkan Komplikasi Neurologis Parah
TRIBUNNEWS.COM - Para ilmuwan memperingatkan tentang kemungkinan gelombang kerusakan otak terkait Covid-19, Rabu (8/7/2020).
Peringatan ini dikeluarkan ketika bukti baru menunjukkan Covid-19 dapat menyebabkan komplikasi neurologis yang parah.
Komplikasi itu termasuk peradangan, psikosis, dan delirium.
Baca: Rekor Tertinggi, WHO Laporkan Lebih 230 Ribu Kasus Baru Covid-19 di Dunia
Baca: Sebelum Meninggal Terpapar Covid-19, Anggota DPRD Jateng Syamsul Bahri Sempat Bagi-bagi Sembako

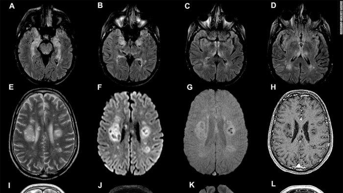
Sebuah studi yang dikerjakan para peneliti di University College London (UCL) menggambarkan, 43 kasus pasien Covid-19 menderita disfungsi otak sementara, stroke, kerusakan saraf atau efek otak serius lainnya.
Dikutip Tribunnews dari CNN, penelitian ini menambah studi terbaru yang juga menemukan penyakit ini dapat merusak otak.
"Apakah kita akan melihat Covid-19 menyebabkan kerusakan otak?" kata Michael Zandi, dari UCL's Institute Neurologi, yang ikut memimpin penelitian.
Baca: Covid-19 Bisa Picu Resesi Ekonomi Dunia, Kemenkop dan UKM Diminta Siapkan Strategi Baru
"Mungkin mirip dengan wabah ensefalitis lethargica pada 1920-an dan 1930-an, setelah pandemi influenza 1918, masih harus diamati lebih lanjut," tambahnya.
Dampak Covid-19 pada Otak Disebut Sangat Memprihatinkan
Mengutip dari Channel News Asia, ahli saraf dan dokter spesialis otak mengatakan, bukti yang muncul tentang dampak Covid-19 pada otak sangat memprihatinkan.
"Kekhawatiran saya, kita memiliki jutaan orang dengan Covid-19 sekarang," papar Adrian Owen, ahli saraf di University Canada West.
"Jika dalam waktu setahun kita memiliki 10 juta orang yang pulih, dan orang-orang itu memiliki defisit kognitif, maka itu akan mempengaruhi kemampuan mereka untuk bekerja dan melakukan kegiatan sehari-hari, " tambahnya.
Lebih jauh, dalam studi UCL, yang diterbitkan dalam jurnal Brain, sembilan pasien yang mengalami peradangan otak didiagnosis dengan kondisi langka yang disebut akut.
Kondisi ini disebarluaskan ensefalomielitis (ADEM) yang lebih sering terlihat pada anak-anak dan dapat dipicu oleh infeksi virus.
Baca: Soal Rekor Penambahan Covid-19 Jakarta, Ketua FAKTA: Pemprov Jangan Hanya Salahkan Warga
Tim mengatakan, biasanya akan melihat sekitar satu pasien dewasa dengan ADEM per bulan di klinik spesialis mereka di London.
Namun, jumlah pasien dilaporkan telah meningkat.