TAG
Tulang Hilang
Berita
-
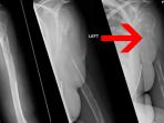
Hasil Scan yang Mengejutkan, Seorang Wanita Didiagnosa Mengidap 'Tulang Hilang'
Wanita berumur 44 tahun yang tak disebutkan namanya ini didiagnosa mengidap penyakit tulang yang hilang.
© 2025 TribunNews.com, a subsidiary of KG Media. All Right Reserved