Minggu, 5 Oktober 2025

TRIBUNNEWSWIKI - Mengenal Histoplasmosis, Infeksi Akibat Menghirup Jamur Histoplasma

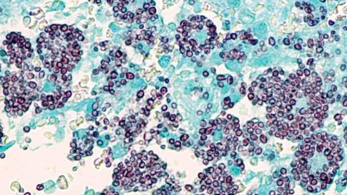
Histoplasmosis adalah infeksi yang disebabkan oleh menghirup sebuah jamur yang disebut Histoplasma capsulatum

halodoc
Histoplasmosis adalah infeksi yang disebabkan oleh menghirup sebuah jamur yang disebut Histoplasma capsulatum 

TRIBUNNEWS.COM - Histoplasmosis adalah infeksi yang disebabkan oleh menghirup sebuah jamur yang disebut Histoplasma capsulatum.

Histoplasmosis terutama mempengaruhi paru-paru, tetapi juga dapat mempengaruhi sumsum tulang, kelenjar adrenal, saluran pencernaan, otak dan persendian.

Jamur tersebut dapat ditemukan pada kotoran burung dan kelelawar dan juga pada tanah basah, seperti kandang ayam, bangunan terlantar dan di sekitar pohon besar dan semak belukar.

Histoplasmosis juga disebut Demam Lembah Sungai Ohio karena banyak orang-orang di area Amerika Serikat mendapatkan infeksi ini.

BACA SELENGKAPNYA>>>

Sumber: TribunnewsWiki
Rekomendasi untuk Anda
AA

Berita Terkini

© 2025 TribunNews.com, a subsidiary of KG Media. All Right Reserved