TAG
jarum
Berita
-
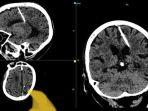
Wanita Rusia Usia 80 Tahun Hidup dengan Jarum di Otaknya, Korban Krisis Perang Dunia II
Wanita Rusia berusia 80 tahun ini hidup dengan jarum menancap di dalam otaknya. Ia adalah korban krisis Perang Dunia II di Uni Soviet.
-
Gara-gara Perang Senjata Mainan, Punggung Pemuda di Polewali Mandar Tertancap Jarum Jahit Sepatu
Pemuda bernama Muh Jaswandi saat ini mendapat perawatan di RSUD Hajja Andi Depu Polman, Selasa (25/4/2023).
-
Sering Tertidur Saat Kerjakan PR, Bocah ini Tancapkan Jarum ke Organ Vitalnya Agar Tak Tidur
Bocah berusia 13 tahun itu menggunakan jarum akupunktur sepanjang 10 sentimeter ke saluran kencing agar tetap terbangun ketika menyelesaikan tugas
-
Dikira Punya Penyakit Selama 6 Tahun, Ternyata Ada 3 Potongan Jarum di Tenggorokan Anak Ini
Tenggorokan anak ini ternyata tertempel 3 potongan jarum selama 6 tahun, sering hilang keseimbangan dan dikira miliki penyakit.
-
8 Trik Tak Terduga: Atasi Takut Jarum dengan Mencoba Batuk hingga Cegukan dengan Angkat Lengan
Berikut ini 8 trik yang bisa mengatasi berbagai masalah kesehatan dalam kehidupan sehari-hari, seperti atasi takut jarum dengan mencoba batuk.
-
Hati-hati, Stroberi Australia Berisi Jarum, Ternyata Pelakunya Masih Bocah
Beberapa waktu lalu sempat heboh buah stroberi mengandung jarum di Australia.
-
Warga Australia Hadapi 'Teror Buah' Pasca Ditemukannya Jarum di Dalam Stroberi dan Apel
Peringatan itu merujuk pada insiden jarum yang ditemukan dalam beberapa buah stroberi baru-baru ini.
-
Ini Cara Mudah Mengeluarkan Duri dan Serpihan Kayu dari Kulit Tanpa Rasa Sakit
Menghilangkan serpihan kayu, tempelkan irisan bawang segar ke area yang terkena.
-
Trik Jitu Memasukkan Benang ke Dalam Jarum dalam Waktu 10 detik
Trik memasukkan benang ke dalam lubang jarum hanya dalam waktu 10 detik dan tidak ribet.
-
Bidan Teledor, Ada Patahan Jarum Tertinggal di Tubuh Seorang Wanita Usai Melahirkan
Sebuah kisah miris setelah menjalani proses persalinan dirasakan oleh seorang ibu muda asal Blora.
-
Ssst, Putri Marino Bongkar Keunikan Suaminya, Ternyata Chicco Jerikho Takut Pada Benda Ini
Saat ditemui di hotel Kawasan Kemang dalam sebuah konferesi pers, Putri Marino sempat ceritakan hal - hal menarik tentang rumah tangganya.
-
Tak Sengaja, Cewek Remaja Ini Telan Jarum Pentul, Begini Jadinya
Kondisi Anisa Salim (14), masih belum membaik. Sama seperti kemarin, ia masih kesulitan bernafas karena jarum pentul bersarang di rongga dadanya.
-
Pakai Jarum Beracun, Dua Wanita Misterius di Malaysia Habisi Kakak Kim Jong Un
Kim Jong Nam, abang tiri pemimpin Korea Utara Kim Jong Un, dikabarkan tewas dalam perjalanan dari Bandara Internasional Kuala Lumpur, Malaysia
-
Sudah Seminggu Jarum Bersarang di Jantung Desi
Sebuah jarum bersarang selama enam hari di jantung Desi Marlia (11), warga Dusun II Kampung Sidorejo, Kecamatan Bangunrejo, Lampung Tengah.
-
Pria Ini Alami Infeksi Parah yang Bisa Gerogoti Tulang Leher Usai Jalani Metode Akupuntur
Seorang pria mengalami infeksi serius di bagian lehernya setelah menjalani pengobatan akuputur.
-
Pria Ini Tusukkan 4.550 Jarum ke Tubuh demi Remaja Bermasalah
Aksinya itu sukses menumbangkan rekor tindikan terbanyak pada tubuh yang sebelumnya dipegang Tyson Turk di tahun 2011.
Duh Jarum Penjepit Jilbab Bersarang di Jantung Gadis Ini, Begini Ceritanya
Setelah dua kali rontgen, pihak rumah sakit menyarankan untuk dilakukan operasi ke Rumah Sakit Cipto Mangunkusumo (RSCM) Jakarta
© 2025 TribunNews.com, a subsidiary of KG Media. All Right Reserved