Berita Viral
VIRAL Wanita Gigit Jarum Pentul saat Pakai Jilbab, tapi Tak Sengaja Tertelan dan Masuk ke Paru-paru
VIRAL Wanita Gigit Jarum Pentul saat Pakai Jilbab, tapi Tak Sengaja Tertelan dan Masuk ke Paru-paru
TRIBUNNEWS.COM - Ada banyak model jilbab yang beredar di pasaran demi memenuhi kebutuhan wanita Muslim.
Modelnya macam-macam, dengan berbagai warna, panjang dan jenis kainnya.
Meski jilbab dapat dipakai dengan mudah, namun para wanita hampir selalu menggunakan peniti atau jarum pentul untuk membuatnya terlihat rapi dan elegan.
Namun, peniti atau jarum pentul bisa saja berbahaya.
Karena bentuknya yang kecil, jarum pentul bisa langsung hilang saat jatuh.
Karena sering hilang, wanita biasa memiliki banyak cadangan peniti atau jarum pentul.
Jika tidak, mereka akan menjaganya dengan benar agar tidak hilang.
Menjepit atau mengigit jarum pentul dengan gigi saat seseorang memakai jilbab sangat umum dilakukan.
Namun ternyata kebiasaan itu cukup berisiko.
Kelalaian sedikit saja bisa melukai seseorang.
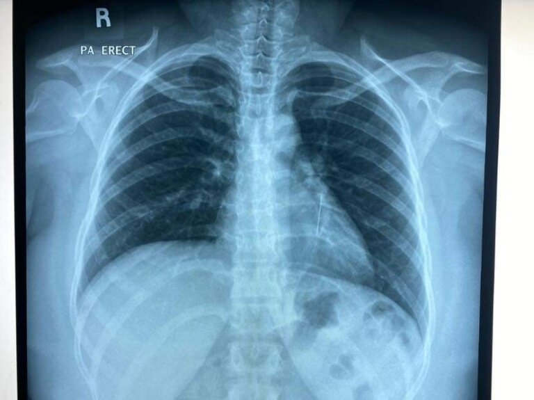
Seorang dokter bernama Kamarul Ariffin Nor Sadan membagikan pengalamannya menangani pasien yang tak sengaja "menelan" jarum pentulnya.


Tak hanya sekali, tapi sang dokter berkata ia sudah sering menemui kasus seperti itu.
Melalui unggahan Facebook-nya pada 19 Desember 2019, sang dokter menceritakan temuannya.
"Semalam tim Respiratory UKMMC keluarkan sebatang jarum pentul dari paru-paru kiri seorang wanita melalui prosedur rigid bronchoscopy. Ngeri!," tulisnya.
"Tahu tidak bagaimana jarum bisa masuk ke situ?"