TAG
Perth
Berita
-
Kisah Dua Nelayan Berada di Mobil yang Terjebak di Rawa dan Dikepung Buaya Selama 4 Malam
Dua nelayan bersama anjingnya tak berdaya ketika mobil yang ditumpangi mereka dikepung buaya di kawasan terpencil di Kimberley, Australia.
-
Wanita Ini Tulis Perasaan Puas Usai Bunuh Seorang Remaja Secara Sadis
"Aku sangat takut karena Jemma bertingkah seperti seorang psikopat, sehingga aku memutuskan meninggalkan rumah,"
-
Panduan bagi Kamu yang Ingin Liburan ke Perth Tanpa Harus Cuti
Bagi wisatawan Indonesia, perjalanan menuju Perth juga tidak memerlukan waktu lama, yakni hanya 4,5 jam penerbangan.
-
Penumpang QZ535 Gagal Lamar Kekasihnya di Bali, Namun Justru Lamar di Udara
Dilansir dari NBC News, pria bernama Chris Jeanes itu berencana melamar kekasihnya, Casey Kinchella, di Bali, Indonesia.
-
Terjun Bebas 24.000 Kaki, Pesawat AirAsia QZ535 Berhasil Mendarat Selamat
Pesawat AirAsia penerbangan QZ535 sempat mengalami insiden terjun bebas 24.000 kaki dan berhasil selamat, Minggu (15/10/2017).
-
Takut Ajal Menghampiri, Penumpang Pesawat QZ535 Buru-buru Kirim Pesan Perpisahan Lewat Ponsel
"Saya langsung mengambil ponsel dan mengirim pesan kepada keluarga saya, berharap mereka menerima (pesan) itu,"
-
Remaja Perkosa dan Rampok Nenek 84 Tahun
Di saat perempuan tua itu mandi, remaja tersebut beraksi menjarah barang-barang korbannya.
-
Klarifikasi AirAsia Terkait Pesawat yang Balik ke Perth
Penerbangan AirAsia QZ 535 yang bertolak menuju ke Bali, Indonesia memutuskan kembali ke Perth kemarin
-
Pesawat QZ535 Rute Bali Terjun Bebas dan Kembali ke Perth, Ini Penjelasan AirAsia
Namun, sekitar 25 menit setelah lepas landas, pesawat tiba-tiba mengalami masalah teknis.
-
Kekesalan Penumpang AirAsia QZ535 Saat Pesawat Mendadak Terjun, Ini Katanya
Airbus A320 itu kehilangan tekanan kabin dan meluncur jatuh hingga 20 ribu kaki.
-
Momen Mengerikan AirAsia Rute Bali Terjun Bebas Usai Lepas Landas, Penumpang Histeris
Di tengah keadaan darurat itu, penumpang yang histeris pun menyempatkan diri untuk menyampaikan ucapan selamat tinggal kepada kerabat mereka.
-
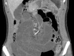
Kram Perut Berbulan-bulan, Perempuan Ini Kemasukan Kawat Gigi di Ususnya
Perempuan 30 tahun di Perth, Australia, itu awalnya sempat memeriksa ke rumah sakit atas keluhan kram pada perutnya.
-
Seorang Ayah Tawarkan Putrinya Kepada Lima Pria Setelah Menggaulinya
Sebuah pengadilan di Perth, Australia, menolak banding dari seorang ayah yang terbukti menggauli putrinya dan menawarkannya kepada lima pria pedofil.
-
Pesawat Berguncang Hebat Saat Terbang, AirAsia Lakukan Investigasi
AirAsia tengah melakukan investigasi atas insiden salah satu pesawatnya yang berguncang saat mengudara ke Malaysia.
-
Mesin Mati Satu, Pesawat AirAsia Perth-Kuala Lumpur Kembali ke Asal
Ketika pesawat sedang berada di atas Samudera Indonesia, tiba-tiba muncul masalah pada salah satu mesin pesawat.
-
Penjelasan AirAsia atas Insiden Pesawat Terguncang Keras ketika Mengudara
Penerbangan AirAsia X D7 237 dari Perth, Australia ke Kuala Lumpur, Malaysia mengalami insiden, Minggu (25/6/2017).
-
Netizen Unggah Video Pesawat AirAsia Tujuan Perth Bergoncang Hebat
Penerbangan AirAsia dari Perth, Australia ke Kuala Lumpur, Malaysia terpaksa kembali ke bandara asal, Minggu (25/6/2017).
-
Ekspansi ke Australia, Batik Air Buka Rute Denpasar-Perth
Lion Air Group kembali memperluas jaringan konetivitas penerbangan rute internasionalnya.
-
Buka Rute Penerbangan ke Perth Australia, Batik Diapresiasi Kemenhub
Sebelumnya, Batik Air juga telah membuka rute ke Kuala Lumpur. Dalam waktu dekat, maskapai itu juga akan membuka penerbangan ke Chenai, India.
-
'Temukan' Emas, Tiga Orang Ini Malah Didenda Rp 50 Juta
Mereka dikenai denda setelah polisi melihat gambar yang dibuat oleh tiga orang pria tersebut yang dipasang di Facebook.
© 2025 TribunNews.com, a subsidiary of KG Media. All Right Reserved